Chennai's Leading Oral & MaxilloFacial Surgeon

Full Mouth Rehabilitation

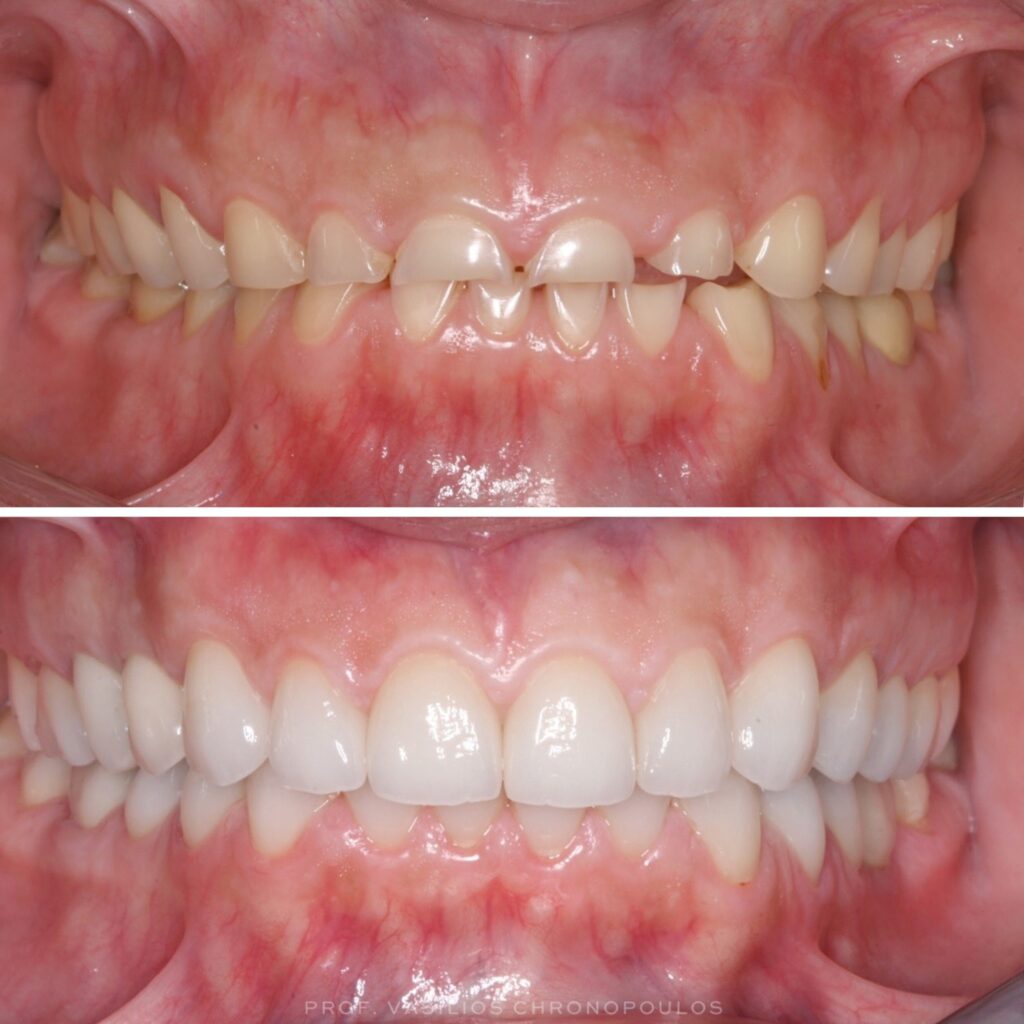
Our comprehensive approach to full mouth rehabilitation addresses concerns such as loose teeth, eating difficulties, bite issues, and worn teeth. We specialize in restoring facial height and overall oral function, ensuring comfort and confidence for our patients. By merging neuromuscular science with cosmetic dentistry, we deliver transformative results in appearance and function.

Dentures:

Experience the convenience and effectiveness of dentures tailored to your needs. Whether you require removable or fixed dentures, we craft solutions to restore your smile’s natural beauty and functionality. Fixed dentures, secured with implants, offer stability and prevent bone loss while enhancing chewing and speech capabilities. With acrylic matching the color of your gums, our dentures seamlessly blend into your smile, preserving facial harmony and preventing premature aging. Say goodbye to sinking cheeks and hello to a youthful, rejuvenated appearance.

Scroll to Top
Dr.Seema Mathew
Hello 👋
Can we help you?